Clean Eating At Home: 30 Make Ahead Salads Under 300 Calories
Starting a weight loss journey can be an exciting yet challenging task. Figuring out the best things to eat can feel ove
Cabin Fever? 14 Outdoor Snow Day Activities for Kids
If youre looking for outdoor snow day activities for kids, weve got you covered!While it can be tempting to sit in front
8 Step-by-Step Embroidery Tutorials for Beginners and Beyond
If youre looking for embroidery tutorials for beginners, this post is for you! Were sharing a list of essentials to inve
How to Use Activated Charcoal: 10 Uses and Benefits For Health and Beauty
You may have noticed activated charcoal popping up on your newsfeed and social media channels more often these days. It’
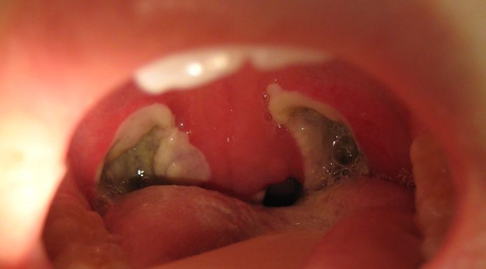
What Is a Tonsillectomy?
The tonsils may be removed due to repeated infections or enlargement that affects breathing.A tonsillectomy is surgery t
- Advertisement -




































